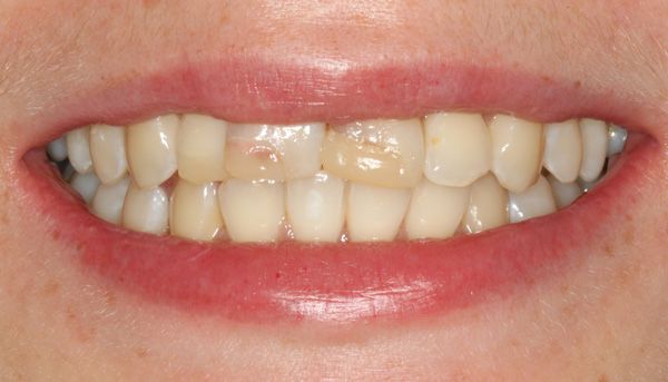
Gigi yang sehat dan kuat merupakan aset penting bagi setiap orang. Namun, banyak yang tidak menyadari bahwa kebiasaan sehari-hari, terutama dalam hal mengonsumsi minuman tertentu, dapat menjadi penyebab utama kerusakan gigi. Salah satu masalah yang sering muncul akibat kebiasaan tersebut adalah gigi keropos, yaitu kondisi ketika lapisan pelindung terluar gigi, atau enamel, mengalami pengikisan.
Kerusakan enamel ini tidak hanya menimbulkan rasa ngilu atau sensitivitas pada gigi, tetapi juga bisa berujung pada masalah serius seperti karies, gigi patah, hingga infeksi saraf gigi.
Menurut laman kesehatan axeldental.id, proses pengeroposan gigi biasanya terjadi karena paparan zat asam yang terkandung dalam makanan dan minuman. Zat asam tersebut dapat melunakkan enamel, sehingga gigi kehilangan kekuatannya. Jika dibiarkan tanpa perawatan, kerusakan enamel bisa berkembang menjadi kondisi permanen yang sulit diperbaiki.
Pentingnya Menjaga Enamel Gigi
Enamel berfungsi sebagai pelindung utama gigi dari serangan bakteri, suhu ekstrem, serta tekanan dari aktivitas mengunyah. Sayangnya, enamel tidak memiliki kemampuan untuk beregenerasi. Artinya, begitu lapisan ini terkikis, tidak akan tumbuh kembali seperti semula.
Oleh karena itu, menjaga enamel agar tetap kuat sangat penting. Selain menyikat gigi secara teratur dan rutin memeriksakan diri ke dokter gigi, masyarakat juga perlu lebih selektif dalam memilih minuman yang dikonsumsi setiap hari.
Beberapa jenis minuman yang sering dianggap “aman” ternyata memiliki kandungan asam atau gula tinggi yang justru mempercepat proses pengeroposan gigi.
Berikut ini beberapa jenis minuman yang perlu diwaspadai karena dapat merusak enamel dan menyebabkan gigi keropos.
1. Minuman Berkafein: Kopi dan Teh
Kopi menjadi minuman favorit banyak orang, terutama bagi mereka yang membutuhkan energi tambahan untuk memulai hari. Namun, siapa sangka bahwa kopi memiliki kadar asam cukup tinggi yang dapat mengikis enamel gigi.
Jika dikonsumsi terlalu sering tanpa diimbangi dengan kebersihan mulut yang baik, zat asam dari kopi dapat melunakkan lapisan pelindung gigi. Dalam jangka panjang, hal ini bisa menyebabkan gigi menjadi sensitif, terasa ngilu saat mengonsumsi makanan panas atau dingin, bahkan berubah warna menjadi kekuningan.
Bagi pecinta kopi, tidak perlu khawatir harus berhenti total. Para ahli gigi menyarankan untuk:
-
Minum air putih setelah menikmati kopi, agar sisa asam netral lebih cepat.
-
Hindari menambahkan terlalu banyak gula atau krimer yang memperburuk efeknya pada gigi.
-
Gunakan sedotan agar cairan kopi tidak langsung mengenai permukaan gigi.
-
Sikat gigi minimal 30 menit setelah minum kopi untuk menghindari abrasi enamel.
Hal serupa juga berlaku untuk teh hitam dan teh hijau. Meskipun mengandung antioksidan, keduanya tetap memiliki kadar asam yang bisa melemahkan enamel jika dikonsumsi berlebihan.
2. Minuman Beralkohol
Alkohol diketahui memiliki dampak buruk bagi tubuh secara keseluruhan, termasuk pada kesehatan gigi. Saat berada di mulut, alkohol akan berubah menjadi zat asam yang dapat melunakkan enamel.
Lapisan gigi yang melemah akan lebih rentan terhadap gesekan saat menyikat gigi. Apalagi jika seseorang menyikat giginya terlalu keras, pengikisan enamel bisa terjadi lebih cepat.
Selain itu, konsumsi alkohol berlebihan juga menyebabkan mulut kering (xerostomia). Kondisi ini menurunkan produksi air liur, padahal air liur berperan penting dalam menetralkan asam dan membersihkan sisa makanan di rongga mulut.
Lebih parah lagi, alkohol dapat memicu refleks muntah. Ketika muntah, cairan lambung yang mengandung asam klorida kuat akan naik ke mulut dan mempercepat kerusakan enamel.
Untuk mencegah efek buruk ini, beberapa langkah yang bisa dilakukan antara lain:
-
Batasi konsumsi alkohol dan selalu imbangi dengan air putih.
-
Hindari langsung menyikat gigi setelah muntah karena enamel sedang dalam kondisi lunak.
-
Gunakan obat kumur bebas alkohol untuk menjaga kelembapan mulut.
3. Minuman Bersoda: Musuh Utama Enamel
Minuman bersoda merupakan salah satu produk yang paling sering dikaitkan dengan kerusakan gigi. Kandungan asam fosfat dan asam sitrat di dalamnya sangat tinggi dan dapat mengikis enamel secara bertahap.
Bahkan, penelitian menunjukkan bahwa konsumsi minuman bersoda secara rutin bisa menyebabkan penurunan ketebalan enamel hingga 40 persen dalam beberapa bulan saja. Selain itu, kadar gula yang tinggi di dalam soda juga memberi “makanan” bagi bakteri di mulut untuk menghasilkan asam tambahan yang semakin memperburuk kondisi gigi.
Soda juga sering dikonsumsi dalam kondisi dingin dan berkarbonasi, yang menambah risiko sensitivitas gigi.
Jika kamu tidak bisa sepenuhnya lepas dari minuman bersoda, ada beberapa tips yang dapat membantu mengurangi dampak negatifnya:
-
Gunakan sedotan agar soda tidak langsung bersentuhan dengan gigi.
-
Batasi konsumsi maksimal 1–2 kali seminggu.
-
Bilas mulut dengan air putih setelah minum soda.
-
Hindari langsung menyikat gigi setelahnya karena enamel sedang melemah.
Mulailah mengganti kebiasaan ini dengan air putih, infused water, atau jus buah segar tanpa gula tambahan, yang lebih aman untuk kesehatan gigi dan tubuh.
4. Minuman Manis dan Jus Buah
Minuman manis seperti teh botol, sirup, minuman energi, atau jus buah kemasan juga menjadi penyebab utama pengeroposan gigi. Kandungan gula yang tinggi di dalamnya akan berinteraksi dengan bakteri di mulut dan menghasilkan asam.
Asam inilah yang menyerang enamel, membuatnya menjadi tipis dan mudah rusak. Bahkan, jus buah alami sekalipun, seperti jeruk atau apel, bisa memberikan efek serupa jika dikonsumsi berlebihan karena mengandung asam alami.
Menurut para dokter gigi, masalahnya bukan hanya pada jumlah gula, tetapi juga frekuensi konsumsi. Semakin sering seseorang meneguk minuman manis, semakin lama pula gigi terpapar asam.
Agar tetap bisa menikmati minuman manis tanpa mengorbankan kesehatan gigi, lakukan langkah berikut:
-
Batasi konsumsi minuman manis hanya sesekali.
-
Gunakan sedotan untuk mengurangi kontak langsung dengan gigi.
-
Pilih pemanis alami seperti madu atau stevia.
-
Sikat gigi atau berkumur setelah mengonsumsi minuman tersebut.
5. Minuman Asam Seperti Lemon Water dan Cuka Apel
Tren minuman sehat seperti air lemon atau cuka apel kini sedang populer. Banyak yang percaya minuman ini dapat membantu detoksifikasi tubuh dan menurunkan berat badan.
Namun, perlu diketahui bahwa kandungan asam sitrat pada lemon dan asam asetat pada cuka apel dapat sangat merusak enamel jika dikonsumsi langsung tanpa diencerkan.
Efeknya mungkin tidak terasa seketika, tetapi dalam jangka panjang dapat menyebabkan gigi menguning, berlubang, dan mudah retak.
Jika tetap ingin menikmati manfaatnya, sebaiknya:
-
Campurkan air lemon atau cuka apel dengan banyak air untuk menurunkan kadar asam.
-
Hindari langsung menggosok gigi setelah minum karena enamel sedang rapuh.
-
Gunakan sedotan agar cairan tidak langsung mengenai permukaan gigi.
Cara Mencegah dan Merawat Gigi Agar Tidak Keropos
Pengeroposan gigi bisa dicegah dengan kebiasaan sederhana yang konsisten. Berikut beberapa langkah perawatan yang direkomendasikan oleh dokter gigi:
-
Sikat gigi minimal dua kali sehari menggunakan pasta gigi berfluoride. Fluoride membantu memperkuat enamel dan melindungi dari serangan asam.
-
Gunakan sikat gigi berbulu lembut untuk mencegah abrasi mekanis pada enamel.
-
Berkumur dengan mouthwash bebas alkohol untuk menjaga kelembapan mulut.
-
Perbanyak konsumsi air putih, terutama setelah makan dan minum minuman asam.
-
Rutin periksa ke dokter gigi setiap enam bulan sekali untuk deteksi dini kerusakan enamel.
Selain itu, konsumsi makanan yang kaya kalsium dan fosfor seperti susu, keju, dan ikan juga dapat membantu memperkuat struktur gigi.
Kesimpulan
Gigi keropos bukanlah masalah sepele. Kondisi ini bisa terjadi perlahan tanpa gejala berarti, namun dampaknya sangat besar bagi kesehatan mulut secara keseluruhan.
Kebiasaan mengonsumsi minuman berkafein, beralkohol, bersoda, atau tinggi gula merupakan faktor utama penyebab enamel gigi terkikis. Meski begitu, bukan berarti semua minuman tersebut harus dihindari sepenuhnya.
Kuncinya terletak pada pengendalian konsumsi, menjaga kebersihan mulut, dan melakukan perawatan rutin. Dengan langkah sederhana tersebut, kamu tetap bisa menikmati berbagai minuman favorit tanpa khawatir gigi menjadi rusak atau keropos.
Ingat, menjaga gigi bukan hanya soal estetika, tetapi juga investasi kesehatan jangka panjang. Karena senyum sehat berawal dari gigi yang kuat.
(Ferryansyah)




